Understanding Pseudomyxoma Peritonei (PMP)

T.Zhik 134 views
Understanding Pseudomyxoma Peritonei (PMP)

Understanding Pseudomyxoma Peritonei (PMP)

Hey everyone! Today, we’re diving into a topic that might sound a bit intimidating at first: Pseudomyxoma Peritonei , or PMP for short. If you or someone you know has been diagnosed with this condition, you’re probably looking for clear, straightforward information, and that’s exactly what we’re here to provide. Forget the jargon and the complex medical terms for a sec; we’re going to break down PMP in a way that makes sense, so you can feel more informed and empowered.

What Exactly is Pseudomyxoma Peritonei (PMP)?

So, what exactly is Pseudomyxoma Peritonei (PMP) , and why does it have such a mouthful of a name? Let’s get down to basics, guys. PMP is a rare condition characterized by the slow-growing accumulation of mucus-producing tumors within the abdominal cavity. Think of it like this: normally, our bodies have cells that produce mucus to keep things lubricated, like in our digestive tract. In PMP, these cells go a bit rogue, especially those originating from the appendix. Instead of just producing mucus normally, they start to overproduce it, and these cells form tumors. What’s unique about PMP is that these tumors tend to spread throughout the lining of the abdomen, known as the peritoneum. As these tumors grow, they release more and more gelatinous mucus, which fills up the abdominal space. This buildup can cause significant pressure and discomfort, leading to the symptoms that patients experience. It’s often described as a “jelly belly” due to the sheer volume of mucus that can accumulate. While it originates from a tumor, often in the appendix, the spread and accumulation of mucus are the primary drivers of the disease’s progression and impact on the body. It’s crucial to understand that PMP isn’t a typical cancer that spreads rapidly to distant organs like the lungs or liver, although that can happen in rare, advanced cases. Its primary battleground is the abdominal cavity, where it can infiltrate and occupy space, affecting the function of abdominal organs over time. This slow-growing nature, while sometimes making it harder to detect early, also offers a window for treatment, which we’ll get into later. The key takeaway here is that PMP involves mucus-producing tumors that spread within the abdomen, leading to a significant accumulation of mucus.

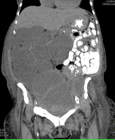
Symptoms and Diagnosis of PMP

Now, let’s talk about how PMP might show up and how doctors figure out if someone has it. Often, PMP symptoms can be pretty vague, especially in the early stages, which is why it can sometimes take a while to get a diagnosis. Some folks might experience a dull ache or discomfort in their abdomen, and others might notice their belly slowly expanding, maybe their pants feeling tighter. Bloating is another common complaint, and sometimes people might feel a sense of fullness even after eating just a little bit. Changes in bowel habits, like constipation or diarrhea, can also occur, and in some cases, nausea or vomiting might be present. Because these symptoms can overlap with many other, more common conditions like irritable bowel syndrome (IBS) or simple indigestion, it’s easy for PMP to fly under the radar initially. This is where imaging techniques become super important for diagnosis. Doctors will typically start with scans like a CT scan (computed tomography) or an MRI (magnetic resonance imaging) of the abdomen and pelvis. These scans can help visualize the abdominal cavity, identify the presence of tumors, and assess the extent of mucus buildup. The characteristic “jelly-like” substance seen on these scans is a strong indicator of PMP. Sometimes, a colonoscopy might be performed, especially if the appendix is suspected as the origin, to get a closer look at the colon and appendix. However, the definitive diagnosis usually comes from a biopsy. This means a small sample of the tumor or the mucus-filled tissue is taken, either during a diagnostic surgery or a procedure like laparoscopy (a minimally invasive surgery using a small camera), and examined under a microscope by a pathologist. The pathologist looks for specific types of cells and the presence of mucin (the substance that makes up the mucus) to confirm the diagnosis of PMP. It’s a bit of detective work, piecing together the symptoms, imaging results, and pathological findings to get the full picture.

Treatment Options for PMP

When it comes to treating PMP , the approach is quite specialized because of the unique way it behaves. The goal of treatment is typically to remove as much of the tumor and mucus as possible, which is often achieved through a surgical procedure called Cytoreductive Surgery (CRS) combined with Hyperthermic Intraperitoneal Chemotherapy (HIPEC). Let’s break that down. CRS involves a major surgery where the surgical team meticulously removes all visible tumors and the gelatinous mucin from the abdominal cavity. This can be a long and complex operation, sometimes taking many hours, as the surgeons need to carefully identify and resect every affected area. The idea is to leave the abdominal cavity as clean as possible. Following the CRS, the HIPEC part comes into play. This is where heated chemotherapy drugs are washed through the abdominal cavity for a specific period. The heat helps the chemotherapy drugs penetrate the remaining microscopic cancer cells more effectively, while also helping to kill any tiny tumor deposits that couldn’t be surgically removed. This one-two punch of surgery and heated chemo is currently the most effective treatment strategy for PMP. It’s important to note that PMP is rare, and not all medical centers have the expertise or facilities to perform CRS with HIPEC. Therefore, patients are often referred to specialized centers with extensive experience in treating this condition. Other treatment options might be considered depending on the specific case, such as systemic chemotherapy, especially if the cancer has spread beyond the abdomen, or supportive care to manage symptoms and improve quality of life. However, for localized PMP, CRS with HIPEC remains the gold standard. Recovery from this intensive treatment can take time, and it’s a significant undertaking for patients, requiring a strong support system and a commitment to rehabilitation. But for many, it offers the best chance for long-term control of the disease.

Living with PMP: What to Expect

Navigating life after a PMP diagnosis and treatment can be a journey, and understanding what to expect is key to managing it well. Firstly, remember that you’re not alone. There are many support systems and communities available for people dealing with rare conditions like PMP. Connecting with others who have gone through similar experiences can provide invaluable emotional support and practical tips. After undergoing CRS with HIPEC, recovery is a significant process. You’ll likely experience pain, fatigue, and dietary restrictions as your body heals from major surgery. The medical team will provide detailed guidance on recovery, including wound care, pain management, and when you can gradually resume normal activities and eating. It’s essential to follow these instructions closely. Long-term, living with PMP often involves regular follow-up appointments and surveillance scans (like CT scans) to monitor for any recurrence of the disease. Even after successful treatment, there’s a possibility of the condition returning, so ongoing vigilance is important. Patients are often advised to maintain a healthy lifestyle, including a balanced diet and regular, gentle exercise as tolerated, to support overall well-being and recovery. While PMP can be a challenging condition, many patients live full and active lives after treatment. The key is to stay informed, maintain open communication with your healthcare team, and lean on your support network. Educating yourself, like you’re doing right now, is a massive step in taking control and understanding your health journey. It’s about adapting, staying positive, and focusing on living well, day by day.

The Importance of Patient Education

Finally, let’s circle back to why patient education for PMP is so darn important, guys. When you’re facing a rare diagnosis like Pseudomyxoma Peritonei, knowledge really is power. Understanding the condition – what it is, how it’s diagnosed, and the treatment options available – empowers you to make informed decisions about your healthcare. It helps you ask the right questions to your doctors, engage more actively in your treatment plan, and feel less anxious about the unknown. When you understand the ‘why’ behind certain procedures or treatments, it can make the experience much more manageable. Furthermore, good education equips you to communicate effectively with your healthcare team. You can articulate your symptoms more clearly, understand their explanations better, and work collaboratively towards the best possible outcomes. For family members and caregivers, patient education is also vital. It helps them understand what their loved one is going through, enabling them to provide better support and care. In a world where medical information can sometimes be overwhelming or complex, having clear, accessible resources about PMP is crucial. It fosters a sense of control and hope, which are essential components of healing. So, keep learning, keep asking questions, and remember that being an informed patient is your strongest asset in this journey. We hope this breakdown has been helpful in shedding some light on PMP. Stay well, and take care of yourselves!