MRI Scans: What You Need To Know

T.Zhik 113 views
MRI Scans: What You Need To Know

MRI Scans: What You Need to Know

Hey guys! Ever wondered what exactly happens during an MRI scan ? Or maybe you’re about to get one and feeling a bit nervous? You’re in the right place! We’re going to dive deep into the world of Magnetic Resonance Imaging, or MRI as it’s more commonly known. This amazing technology uses powerful magnets and radio waves to create incredibly detailed pictures of the inside of your body. It’s super useful for doctors to diagnose a whole bunch of conditions, from sports injuries and joint problems to more serious stuff like tumors and strokes. Unlike X-rays or CT scans, MRI doesn’t use ionizing radiation, which is a pretty big plus. It’s like having a super-powered camera that can see through your skin and bones to reveal what’s going on with your soft tissues, organs, and even your brain. Pretty cool, right? We’ll break down how it works, why you might need one, what to expect before, during, and after your scan, and some tips to make the experience as smooth as possible. So, buckle up, and let’s get informed about this fascinating medical marvel!

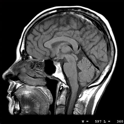
How Does an MRI Scan Actually Work?

So, you might be asking, “ How does this whole MRI thing even work?” It sounds like science fiction, right? Well, it all boils down to the magnetic fields and radio waves . Your body is mostly made up of water, and water molecules have tiny parts called protons. These protons are like little spinning tops, and when you’re not in a magnetic field, they’re all spinning in random directions. But here’s where the magic happens: when you lie inside the MRI scanner , which is basically a giant, super-strong magnet, all those protons line up, kind of like a compass needle pointing north. Pretty neat, huh? The MRI machine then sends out a burst of radio waves . These radio waves knock the protons out of alignment, but only for a second. As they snap back into place, they release energy, and this energy is picked up by special receivers in the MRI machine. Different tissues in your body – like fat, water, or muscle – release this energy at different rates and strengths. The computer then translates these signals into detailed cross-sectional images of your body. Think of it like a super-sophisticated sound recording; the echoes tell the computer what’s there and where it is. The stronger the magnetic field, the more detailed the images can be. That’s why MRI machines are housed in special rooms to shield them from outside magnetic interference, and why you might hear a lot of loud banging and whirring noises – that’s just the machine doing its job, rapidly turning the magnetic field on and off to create those images. It’s a complex symphony of physics that gives us an incredible window into your body.

Why Might You Need an MRI Scan?

Doctors recommend MRI scans for a whole host of reasons, guys. It’s a go-to diagnostic tool when they need to get a really clear look at soft tissues, which are often hard to see on other types of scans. For instance, if you’ve injured your knee playing sports and suspect a torn ligament, an MRI can show the extent of the damage with amazing clarity. Think about problems with your brain and spinal cord MRI is fantastic for detecting things like multiple sclerosis (MS), tumors, strokes, or herniated discs. It’s also invaluable for examining organs like the liver, heart, and prostate, helping to identify abnormalities or diseases. For cancer detection and staging, MRI can provide detailed information about the size, location, and spread of a tumor, helping oncologists plan the best course of treatment. Even conditions affecting your joints, muscles, and tendons, such as arthritis, tendonitis, or tears, are clearly visualized. Sometimes, a doctor might use MRI to follow up on an earlier diagnosis or to check the effectiveness of treatment. The non-invasive nature (no surgery required!) and the high level of detail make it a crucial part of modern medicine. So, if your doctor suggests an MRI , it’s because they need that super-detailed picture to figure out what’s going on and how best to help you get better. It’s a powerful tool in their arsenal for keeping us healthy.

Preparing for Your MRI Scan: What to Expect

Alright, so you’ve got an MRI scan coming up. What do you need to do to get ready? First off, don’t stress! Preparation is usually pretty straightforward. The most important thing is to inform your doctor or the MRI technologist about everything that might be relevant. This includes any metal implants you have in your body – things like pacemakers (though many newer ones are MRI-compatible, it’s crucial to check!), artificial joints, cochlear implants, or even shrapnel from an old injury. Metal can interfere with the magnetic field, and in some cases, it can be dangerous. You’ll likely fill out a questionnaire about your medical history and any metal in your body. Also, let them know if you have any allergies, especially to contrast dyes, as these are sometimes used to enhance the images. On the day of the scan, try to wear comfortable clothing that doesn’t have any metal zippers, buttons, or underwires. Sometimes, you might be asked to change into a hospital gown. You’ll also need to remove any jewelry, watches, piercings, hearing aids, and dentures. Basically, anything metal has to go! If you’re prone to claustrophobia (fear of enclosed spaces), this is super important to mention beforehand. The MRI scanner can feel pretty tight, and doctors can prescribe a mild sedative to help you relax. Some MRI centers even offer special open MRI scanners for claustrophobic patients, although the image quality might be slightly different. You can usually eat and drink normally before the scan, unless your doctor specifically tells you otherwise, especially if contrast dye is being used or if it’s related to an abdominal or pelvic scan. Just remember to communicate openly with the medical staff; they’re there to make sure you’re safe and comfortable.

During the MRI Scan: Staying Still and Calm

Okay, the moment of truth – during the MRI scan . This is where you’ll spend most of your time inside the MRI machine . As we mentioned, it’s essentially a big, tube-shaped magnet. You’ll be asked to lie down on a movable table, which will then slide into the center of the scanner. The technologist will position you comfortably and make sure you have everything you need, like pillows or blankets. They’ll also give you a way to communicate, usually a call button, so you can signal if you feel uncomfortable or need anything. Now, here’s the key: you must stay as still as possible during the scan. Even small movements can blur the images, making them less useful for diagnosis. Think of it like trying to take a clear photo of a moving object – it’s tough! The MRI machine makes a lot of noise – loud clanging, thumping, and whirring sounds. This is completely normal and just part of the process as the machine works its magic with the magnets and radio waves. To help block out the noise and relax, you’ll usually be offered headphones or earplugs. Some MRI centers even play music through the headphones, which can be a nice distraction. If a contrast dye is being used, an IV line will be inserted into your arm or hand before the scan starts, and the dye will be injected at a specific point during the imaging. The scan itself can take anywhere from 15 minutes to over an hour, depending on what part of your body is being scanned and how many images are needed. Try to focus on your breathing and relax. Remember why you’re there – to get the information needed to help you feel better. It’s a temporary experience for long-term health benefits!

After Your MRI Scan: What Happens Next?

So, the loud noises have stopped, and you’re out of the MRI scanner ! What’s next? Generally, recovery from an MRI scan is super quick and painless. Once the scan is complete, the technologist will help you off the table. If you were given a sedative, you might feel a bit drowsy, and you’ll likely need someone to drive you home. Otherwise, you can usually resume your normal activities immediately. You can eat, drink, and go back to work or school. If you had a contrast dye injected, you might be asked to drink plenty of fluids afterward to help flush it out of your system. There are usually no side effects from the contrast dye, but in rare cases, some people might experience mild nausea or a headache. If you notice any signs of an allergic reaction, like hives or difficulty breathing, seek medical attention immediately. The images taken during your MRI are then reviewed by a radiologist, a doctor specially trained to interpret medical images. They’ll analyze the pictures and write a detailed report for your referring physician. This report, along with the images, will be sent to your doctor, usually within a day or two. Your doctor will then discuss the findings with you at a follow-up appointment. They’ll explain what the MRI showed, what it means for your health, and what the next steps might be, whether that’s further treatment, therapy, or just reassurance that everything is okay. So, while the scan itself is just one part of the process, the information it provides is often critical for your healthcare journey. Don’t hesitate to ask your doctor any questions you have about the results!